在深圳福田,有一家备受瞩目的口腔诊所——深圳福田徕可口腔(理想城)。它凭借正规连锁的优势、齐全的项目、良好的环境、精良的设备以及全天营业的便利,成为了众多市民看牙的心仪之选。

诊所基本信息
深圳徕可口腔(理想城)是一家成立于2017年的私立口腔诊所,隶属于连锁机构,医院面积达到300平方米,经过当地监管部门的批准。其位于八一路理想时代大厦16C,上班时间为周一至周日全天,这一营业时间的设定,为平时工作繁忙的上班族和上学的学生们提供了极大的便利,无论何时有看牙需求,都能找到合适的时间前往。

正规连锁有保护
该诊所是正规的连锁牙科,在福田区卫生健康局登记注册,登记号在卫健委官网均可查询。这种正规性让患者在看牙时更加放心,不用担心遇到不正规的医疗操作。连锁的模式也意味着它有统一的管理和标准,在医疗质量和服务水平上更有保护。而且连锁牙科的医生通常比较看重名誉,只做自己的精专项目,实行“专科专治”,能够为患者提供更精细、更有效的治疗方案。

丰富的口腔诊疗项目
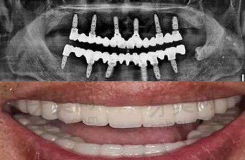
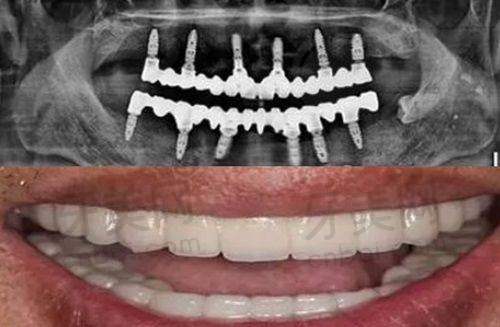
深圳福田徕可口腔(理想城)开展的口腔诊疗项目十分齐全。其中种植牙项目备受关注,包括微创种植牙、前牙美学种植、all - on - 4/6半全口即刻负重种植、上颌窦内外提升种植等。对于牙齿缺失的患者来说,种植牙可以良好地修复牙齿的功能和美观,就像拥有了自己的真牙一样。
在牙齿矫正方面,有金属及半隐形陶瓷托槽、全隐形透明牙套、舌侧隐形矫正、儿童早期牙齿矫正等多种选择。不同的矫正方式适合不同的人群和牙齿情况,患者可以根据自己的需求和医生的建议来选择。比如,全隐形透明牙套比较美观,几乎不影响日常生活和社交;而金属托槽则价格相对较为亲民。
此外,还有镶活动及固定假牙、镶烤瓷及全瓷牙冠等修复项目,以及牙周治疗、洗牙、补牙等常见的口腔治疗项目。无论患者是牙齿缺失、牙齿不齐,还是有牙周炎、龋齿等问题,都能在这里得到专精的治疗。

优雅舒适的环境
深圳徕可口腔(理想城)以其优雅舒适的环境而驰名。诊所内部装潢现代,采用了明亮的空间设计,让人一走进就倍感轻松,大大消除了看牙时的紧张感。对于特别多害怕看牙的人来说,这样的环境无疑是一种极大的安慰。在这里,患者可以在一个放松的氛围中接受治疗,享受看牙的过程。

精良的医疗设备
诊所引入了精良的医疗设备,如CBCT机、全景机、超声洁治器、根管填充器、激光设备等。这些设备在口腔诊疗中发挥着重要的作用。CBCT机可以提供更清晰、更正确的口腔三维图像,帮助医生更好地了解患者的牙齿和颌骨情况,从而制定出更精细的治疗方案;超声洁治器可以效率高地去除牙齿表面的牙结石和菌斑,保护牙齿和牙龈健康。

贴心的服务体验
该诊所的服务也十分贴心。它开通了电话和网络预约服务,患者可以提前预约就诊时间,这样到店后不用排队等候,看牙更快速、更节省时间。当患者来到诊所时,前台接待员会热情地欢迎,并询问预约信息,然后让患者填写一份简单的病历表,记录基本信息和牙齿情况。整个就诊过程流程清晰,让患者感受到专精和周到的服务。

患者的真实评价
不少患者对深圳福田徕可口腔(理想城)给出了好评。有患者因为这里的环境评价不错,且家里亲属之前在这里看牙体验也良好,所以选择前来就诊。一位患者前来进行补牙,在整个过程中感受到了前台的热情接待和医生的专精治疗。还有患者表示,这里的价格合理,性价比特别高,能够用合适的价格享受到优质的口腔医疗服务。

诊所的使命与准则
深圳徕可口腔诊所的企业使命是消灭口腔三大疾病,让天下人尽享天下美味,绽放美丽笑容,并且要做到医疗不疼、不掉、不难看。其服务准则是专精度、真诚度、有温度,始终寻求客户满意度。从这些使命和准则中可以看出,诊所不仅关注患者的口腔健康,还注重患者的体验和感受,致力于为患者提供全方面的优质服务。
深圳福田徕可口腔(理想城)以其正规连锁的身份、齐全的项目、舒适的环境、精良的设备、贴心的服务以及良好的口碑,成为了深圳福田地区口腔医疗领域的一颗璀璨明星。无论是牙齿治疗、牙齿矫正还是牙齿修复,这里都能满足患者的需求。如果你正在为口腔问题而烦恼,不妨来深圳福田徕可口腔(理想城)体验一下,相信它会给你带来不一样的看牙感受。

评价(已有0人点评)